竹下歯科 医院HP
福井県福井市木田2-2104
インプラント治療について
インプラント治療とは
インプラント治療は、歯を失った部位の顎の骨に人工歯根(インプラント体)を埋め入れます。その上部に人工の歯を被せることで歯の機能を回復させます。人工歯根は生体親和性の高いチタンで、顎の骨としっかり結合することにより、自分の歯のようなしっかりとした噛み心地に近づけます。
インプラントは顎の骨にしっかりと固定されるため、発音に問題が生じることが少なく、硬い食べ物も食べることができます。また、入れ歯やブリッジのようにほかの健康な歯を削ることもなく、欠損部位単独でインプラント治療することが可能です。
当院の治療方針

当院ではインプラント治療だけを無理におすすめしません。インプラント、入れ歯、移植いずれかの方法で欠損歯部分を治療しています。患者様にそれぞれの治療方法のメリット・留意点をお話して、ご納得いただいた方にのみインプラント治療を行います。
インプラント治療に関しましては、学会などで日々研鑽を積んでおります。患者様の年齢や体質、ご意向によって治療方針をご提案いたします。
歯を1本失った場合の治療法
ブリッジ
歯の両隣の歯を削る必要があり、削られた歯への負担が増加します。
1本の歯の代わりとなるブリッジを使用します。
治療期間は短く公的医療保険が適用されます。
インプラント
インプラントとセラミックの人工歯を使って、両隣の歯を削らずに治療できます。
メンテナンスをきちんと行えば、長期間にわたって、機能と見た目の維持を目指せます。
部分入れ歯
歯1本分の入れ歯です。治療期間は短いです。部分入れ歯に違和感を感じることがあります。
バネなどが見えるため、見た目があまりよくないですが、自由診療で歯茎色のものもできます。
歯の移植
親知らずを利用して欠損した部位に移植します。条件に適合する患者様が少ないです。
公的医療保険が適用され、成功率は約50%と言われています。
歯を数本失った場合の治療法
部分入れ歯
インプラント
多くの歯を失った場合の治療法
総入れ歯
総入れ歯を歯茎全体にかぶせ、上顎の場合は口蓋も覆います。
治療期間は短く、入れ歯の安定が悪いとずれやすくなります。
顎全体の骨がやせることがあります。素材によって公的医療保険と自由診療が適用されます。
インプラントオーバーデンチャー
自由診療で、インプラントを用いた入れ歯です。
磁石でしっかり固定され、ずれなどによる不快感を解消します。
見た目は天然歯に近くお掃除の為に自分で取り外すことができます。
All-on-6
複数のインプラントを埋め入れて連結歯を固定します。
力が分散できずに、歪んで上部構造やインプラント体が割れるなど不具合が起きる場合があります。
当院では推奨していません。
インプラントのメリット・留意点

インプラントは見た目、機能性、口腔環境の維持を考えると良い治療法です。メンテナンスをきちんと行うことにより、機能や見た目の長期的な維持を目指せます。
また、インプラントで食べ物を噛むことで刺激が顎の骨に伝わり骨量の維持にも繋がります。欠損部分にインプラントが存在するため、空いた空間に歯が移動せず歯並びが悪くなることを防いでくれます。歯を失った場合はなるべく早い段階でインプラントを検討することをお勧めします。
インプラントの留意点は、自由診療なので費用がかさみます。骨粗しょう症や糖尿病など患者様は治療ができない場合もあります。また、インプラント手術は外科手術であり、痛み・腫れ・出血・合併症が伴う可能性があります。
インプラント体が定着するまでに治癒期間が長くかかり、インプラント体が定着した後は感染に気を付ける必要があります。そのため、普段から清潔に心掛けて定期検診を受けていただく必要があります。インプラントをスムーズに定着させて、長く使っていただくために禁煙・禁酒をお願いしています。
当院のインプラント治療の流れ
-
検査、説明

お口の中の状況はインプラントの持ち具合に関連します。精密検査で歯科用CTを使用しX線撮影を行い、顎の骨の量や形を確認します。
-
インプラント1次手術(所要時間:1時間)

麻酔をして顎の骨にインプラントを埋め入れます。 まず歯茎を切り開き顎の骨を出します。次にドリルで注意深く骨に穴を開けて、インプラントを埋め入れます。骨の量が少ない場合は同時に骨を増やす処置を行います。
-
3〜6ヵ月の治癒期間
手術の翌日に消毒、1週間後に抜糸を行います。2ヵ月ごとに状態を確認します。
-
インプラント2次手術(所要時間:30分)

インプラントの頭を出すために歯茎を切開し、アバットメントを取り付けます。
-
治癒期間を置く
歯を作る作業に入ります。口の中の型取りと噛み合わせの記録を取ります。
-
仮歯の型取り・作成
1ヵ月間の治癒期間を置きます。
-
アバットメントと仮歯の装着
アバットメントを装着した状態で、上部構造の型取りをします。仮歯を装着しお口に合うか確認します。歯の色が合っているかを確認し完成に近づけます。
-
上部構造の装着と調整、メンテナンス
上部構造を装着します。実際に患者様に使っていただき噛み合わせの調整をします。インプラントが完成したら定期的にメンテナンスに通っていただきます。
※治療結果は患者様によって個人差があります。
インプラント保証について
当院のインプラントの保証

骨に埋め入れたインプラント体については10年間保証します。歯として機能するインプラントの上部構造については5年間保証します。
インプラントが完成し患者様のご希望に沿うまで責任をもって対応します。インプラント体が定着しなかった場合は全額返金いたします。保証期間における通常使用で破損や脱落や不都合が生じた場合は、当院の責任において、無料にて修理、再装着、再作成いたします。
ただし、定期健診での歯石除去や噛み合わせの調整などは別途料金がかかります。
次のような場合は、保証期間中であっても修理、再装着、再作成には、一部または全額有料となりますのでご注意ください。
・当院の指示に従わない状態で使用された場合
・診療時に全く予測し得ない変化が、口腔状態に起きた場合
・患者様の重大な不注意や事故など、明らかに当院の責任でない場合
・完成後に、3ヵ月と6ヵ月毎の定期検診を受けていただけなかった場合
・別紙の説明、同意書中にあるお体の状態になった場合(糖尿病、喫煙など)
・インプラント治療部位を他院で再治療した場合
※治療結果は患者様によって個人差があります。
治療の症例
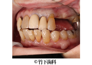
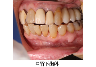
【症例1】上顎臼歯部のインプラントによる治療
- 治療前
- 治療後
- 治療名
- 上顎臼歯部のインプラントによる治療
- 費用
- 275,000円(税込)
【内訳】
インプラント埋入術
220,000円(税込)
インプラント上部構造
55,000円(税込)
- 期間
- 7ヵ月
- 通院回数
- 8回
- 患者様
- 30代女性
治療内容
-
患者様の症状
-
奥歯に痛みを感じて来院し、レントゲンで右側臼歯の歯根破折が確認されたため抜歯しました。欠損部分をインプラント治療することを希望されました。また、隣接歯をイプラントの色にそろえたいというご希望がありました。
-
治療法
-
歯根破折を起こした右側臼歯に代わって、顎の骨にインプラント(人口の歯の根)を埋め込む治療を行いました。その後、インプラントには人口の歯を被せることで機能面の回復をする治療を行っています。
同時に隣接した補綴物の金属色が気になるとのことでしたので、補綴物を公的医療保険適応のCAD/CAM冠に変更しました。 -
治療結果
-
インプラント治療によって歯根破折を起こした歯を補うことができ、審美面・機能面の回復に繋がりました。
※治療結果は患者様によって個人差があります。
治療を行う上での 注意点 (リスク・副作用)
出血、腫脹、疼痛、神経麻痺、補綴物のダツリ、破折、インプラント体の破折、咬合違和感、インプラント周囲炎
【症例2】右下臼歯部3本欠損のインプラントによる治療
- 治療前
- 治療後
- 治療名
- 右下臼歯部3本欠損のインプラントによる治療
- 費用
- 605,000円(税込)
【内訳】
インプラント埋入術
220,000円(税込) × 2
インプラント上部構造
55,000円(税込) × 3
- 期間
- 5ヵ月
- 通院回数
- 11回
- 患者様
- 50代女性
治療内容
-
患者様の症状
-
部分入れ歯を長年使用していて、奥歯で噛むことに困難を感じていました。食べ応えのあるものをしっかりと噛みたいというご希望がありました。
-
治療法
-
下顎の欠損部分に2本の人工の歯根を埋入しました。そこに3本の歯の形をしたブリッジの上部構造を装着しました。
-
治療結果
-
インプラント埋入術によって人工歯根を形成し、その上に上部構造を作ったことで、ご本人の歯のように安定して食べものを噛めるようになりました。2本のインプラントにブリッジの上部構造を装着することで、3本の歯があるような見た目になりました。
-
そのほか
-
患者様のご希望を聞いて、天然歯はなるべく残すような治療をしています。
※治療結果は患者様によって個人差があります。
治療を行う上での 注意点 (リスク・副作用)
出血、腫脹、疼痛、神経麻痺、補綴物のダツリ、破折、インプラント体の破折、咬合違和感、インプラント周囲炎
【症例3】右上臼歯部3本欠損のインプラントによる治療
- 治療前
- 治療後
- 治療名
- 右上臼歯部3本欠損のインプラントによる治療
- 費用
- 825.000円(税込)
【内訳】
骨造成は以下に含む
インプラント埋入術 220,000円×3
インプラント上部構造 55,000円×3
- 期間
- 9ヵ月
- 通院回数
- 12回
- 患者様
- 60代女性
治療内容
-
患者様の症状
-
歯周病によって、右上5番は動揺が強いために抜歯しました。右上4番、6番は10年以上前に他医院にて抜歯済みでした。いろいろなものを奥歯で食べたいという希望があり、インプラント治療を希望されました。
-
治療法
-
右上の5番を抜歯してから2か月後にバーティカルサイナスアプローチによる骨造成をして、同時にインプラントを3本埋入しました。6ヵ月後にインプラントが強固に定着されたのを確認し、3本連結のジルコニアクラウンを装着しました。連結にしたことで、かむ力を分散させて骨への負担を減らしています。
-
治療結果
-
審美的にも機能的にも患者様の希望に添えた治療になりました。
-
そのほか
-
上顎洞歯槽骨の厚みが3mmしかなく、バーティカルサイナスアプローチにより5mm挙上して8mmのインプラントを埋入することができました。
※治療結果は患者様によって個人差があります。
治療を行う上での 注意点 (リスク・副作用)
出血、腫脹、疼痛、神経麻痺、補綴物のダツリ、破折、インプラント体の破折、咬合違和感、インプラント周囲炎
竹下歯科の治療サービス
- 手術の種類
- 骨造成治療 / フラップレス手術 / All-on-4
- 手術環境
- 3D CADCAMを利用した治療 / レーザー治療











