当院のインプラント治療
日本口腔インプラント学会 専門医によるインプラント治療

アロハ歯科のインプラント治療は、公益社団法人日本口腔インプラント学会 専門医の伊東 義雅が担当します。
インプラント治療とは虫歯や歯周病などで歯を失った部位に人工歯根(チタン)を埋め込み、そこに人工の歯を被せることで、天然歯とほぼ同じ状態まで噛む力を回復させやすい治療法です。
入れ歯やブリッジとは違い、治療箇所以外の歯に掛かる負担を抑えた治療方法です。
インプラント治療のメリット・デメリット
-
メリット
・固定式なので違和感を少なくしやすい
・見た目や機能面で自分の歯とほぼ同様に使える傾向にある
・隣の歯を削る必要がないため、周りの歯に影響をあたえにくい -
デメリット
・外科手術が必要
・インプラントをしても歯周病に罹るため、定期健診がより大切となる
・公的医療保険適用外の治療である
様々なインプラント治療に対応
骨が少ない方

インプラント治療を検討されている患者様の中には、骨が少ないために通常のインプラント治療が難しい方がいらっしゃいます。
当院ではそういった患者様の症状にも対応できるように努めておりますので、一度ご相談ください。
ソケットリフトとは

ソケットリフト法とは、上顎の奥歯の歯槽骨(歯を支える骨)の幅は問題ないが、高さが減少している場合に行う治療法です。
GBR(骨再生誘導法)

インプラント周囲には充実した骨が必要となります。
骨の幅が不足している場合に、GBR法(骨再生誘導法)を用いて骨の再生を促します。
インプラント治療Q&A
- インプラントは誰でも治療可能ですか?
-
顎の成長が終わっていない20歳未満の方や、外科処置ができない全身状態の方、以外は可能です。
- 治療期間はどれくらいですか?
-
下顎で1.5ヵ月から3ヵ月、上顎で2ヵ月から5ヵ月程度かかります。
- 腫れや痛みはありますか?
-
腫れや痛みは起きる可能性がありますが、私の経験上、抜歯より痛みや腫れが少ないことが多いように思われます。
- 手術後はどのように生活すればよいですか?
-
基本的に抜歯後の注意と同じです。激しい運動やお酒は避ける、お風呂はシャワー程度にする、などです。
- インプラントの寿命はどれくらいですか?
-
よく聞かれる質問です。車と同じように、しっかりメンテナンスをしていけばずっと使えます。逆にメンテナンスを怠ると寿命はかなり短くなります。
アロハ歯科ではインプラント治療の他、虫歯治療、ホワイトニング、矯正治療、訪問診療まで行っています。
インプラントや矯正で歯科医院を変えることなく、アロハ歯科で治療することができますのでインプラント治療以外のお困りごとでも気軽にご相談ください。
※治療結果は患者様によって個人差があります。
インプラント治療の症例
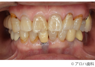
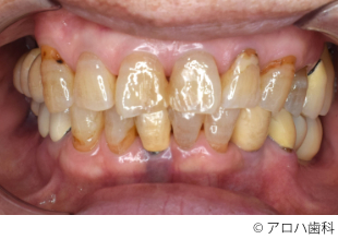
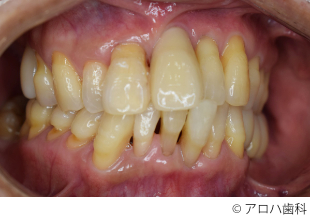
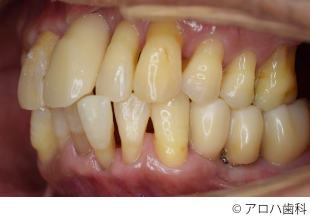
【症例1】インプラント治療による右下咀嚼障害の改善
- 治療前
- 治療後
- 治療名
- インプラント治療による右下咀嚼障害の改善
- 費用
- 407,000円(税込)
- 期間
- 3ヵ月
- 患者様
- 男性 51歳
治療内容
-
患者様の症状
-
右下の奥歯の根が破折し、しみる症状が強く出ていました。
-
治療法
-
歯根破折を起こしていた歯は抜歯し、同部位の歯肉が治癒した時点でインプラントを埋入しました。
その後、インプラントと骨の結合を待ち、上部構造(歯の部分)を装着しました。 -
治療結果
-
ご自身の歯と変わらない感覚で食事ができるようになり、咀嚼障害が改善しました。
※治療結果は患者様によって個人差があります。
治療を行う上での注意点 (リスク・副作用)
抜歯と同程度の外科処置となるため、腫れや痛みが出る可能性があります。
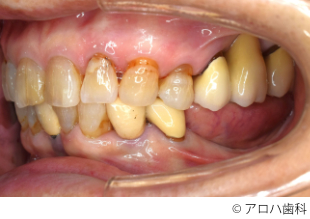
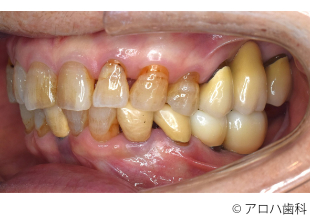
【症例2】インプラント治療による左下欠損の改善
- 治療前
- 治療後
- 治療名
- インプラント治療による左下欠損の改善
- 費用
- 781,000円(税込)
- 期間
- 4ヵ月
- 患者様
- 女性 78歳
治療内容
-
患者様の症状
-
左下の入れ歯が合わず、左で食事が摂れない状態でした。
-
治療法
-
左下にインプラントを2本埋入し、インプラントと骨の結合を待ち上部構造(歯の部分)を装着しました。
-
治療結果
-
左で食事が摂れるようになったため、右側の負担が減りバランスよく咀嚼できるようになりました。
※治療結果は患者様によって個人差があります。
治療を行う上での注意点 (リスク・副作用)
抜歯と同程度の外科処置となるため、腫れや痛みが出る可能性があります。
【症例3】インプラント治療による前歯部欠損の改善
- 治療前
- 治療後
- 治療名
- インプラント治療による前歯部欠損の改善
- 費用
- 396,000円(税込)
- 期間
- 3ヵ月
- 患者様
- 男性 67歳
治療内容
-
患者様の症状
-
上の前歯の接着性ブリッジが外れかけており、前歯で物が嚙み切れない状態でした。
-
治療法
-
隣の歯を削るブリッジ治療を希望されなかったため、ブリッジの除去後、インプラントを埋入しました。
インプラントと骨が結合するまで、一時的に入れ歯を装着していただきました。その後上部構造(歯の部分)を装着しました。 -
治療結果
-
ブリッジの時と比べ、噛み切りやすくなり、見た目も満足されています。
※治療結果は患者様によって個人差があります。
治療を行う上での注意点 (リスク・副作用)
抜歯と同程度の外科処置となるため、腫れや痛みが出る可能性があります。
治療サービス
| 手術の種類 | 骨造成治療 / 入れ歯を併用したインプラント / 審美的なインプラント |
|---|---|
| 使用インプラントメーカー | ストローマン / オステム |
| その他のサービス | 歯周病対応 / インプラントの撤去 / インプラント再治療相談 / アフターケアが充実 |

















