当院のインプラント治療
不安や疑問にお答えするカウンセリング(無料)を実施

「インプラント治療がしたいけれど、外科処置が不安」「治療期間はどのくらい?」「費用はどれくらい?」「治療後はどうなるの?」などの不安や疑問にお答えするため、当院ではカウンセリング(無料)を行っています。
カウンセリング以外に、メールやメッセージアプリでもご相談をお受けしています。
骨が足りない方へのインプラント治療(骨再生・骨造成)にも対応

顎の骨が足りないなどの理由でインプラント治療をあきらめていたというご相談をいただくことも多いです。
しかし、当院では、これまでそのような理由でインプラント治療を受けられなかったケースにもご対応できる骨再生治療や骨造成治療の体制を整えています。
骨再生治療や骨造成治療以外の選択肢もございますので、まずは一度ご相談ください。しっかりとカウンセリングにてご希望をお伺いします。
痛みや不安の強い方には静脈内鎮静法のご提案
静脈内鎮静法とは、鎮静薬を患者様の静脈内に点滴し、半分眠っているような状態をつくり、痛みや不安、恐怖を和らげ、リラックスした状態で処置を行う方法です。
外科処置を伴うインプラント治療は、一般の歯科治療以上に不安や恐怖が大きくなります。
当院では、大学から麻酔の専門の先生に来ていただいています。全身管理下で行うため、全身疾患の既往がある方、嘔吐反射のある方、緊張しやすい方には特に有効だと考えています。
歯をほとんど失っている方や歯がない方に向けたAll-on-4

歯をほとんど失ってしまっている方や、すでに歯がない方のインプラント治療の選択肢として、All-on-4(オールオンフォー)があります。
All-on-4とは、最低4本のインプラントで片顎分(10本〜12本)の歯を補う方法です。
通常のインプラント治療では、失った歯1本ずつに土台となるインプラントを埋入する必要がありますが、その分、身体や費用の負担が大きくなります。その点、All-on-4では、それらの負担を抑えることができます。
All-on-4のメリットと入れ歯との違い
- 1本ずつインプラントを埋入して歯を補う場合に比べて費用を抑えられる
- 入れ歯に比べ固定式の人工歯を装着できるので、食べ物を噛みやすい
- 入れ歯に比べ骨の吸収を防いでくれる
- 入れ歯に比べ違和感が少なく、発音しやすい
ただし、患者様の症状によっては、All-on-4での治療が難しい場合や、4本以上のインプラントで支える必要があるなどのケースもあります。
また、費用をさらに抑えたい方や、ご高齢の方には、インプラントオーバーデンチャーという選択肢もございます。
お困りの方、ご希望の方は、まずは一度ご相談ください。
治療後のメインテナンスと10年保証について
インプラント手術を経て被せ物(上部構造)を装着したからといって、インプラント治療が終わりではありません。インプラントを長く口腔内で機能させるためには、適切な口腔内のケアが不可欠です。ご自身で毎日していただくホームケアと、定期的に歯科医院で行うオフィスケア、この二つがうまく機能することで、長く安定してインプラントをお使いいただくことができます。
そのため、当院では、適切なホームケア指導と、歯科衛生士によるケアを行っています。
また、最低年2回のメインテナンスにお越しいただける方を対象に、インプラント治療における10年保証を導入しております。
治療の流れ
-
検査・診断
歯科用CTで撮影したデータをもとに治療計画を立てます。
治療について不明な点や、困っていることがあればお気軽にご相談ください。 -
インプラント埋入手術
インプラント体を埋入するための手術を行います。
インプラントを支えるのに骨量が足りない場合などは、骨造成手術にも対応しています。 -
本歯の装着
出来上がった被せ物をインプラント体に被せ、インプラント治療は完了です。
※治療結果は個人差があります。
症例
【症例1】上顎All-on-5 左右奥歯をインプラントにて治療した症例
- 治療前
- 治療後
- 治療名
- 上顎All-on-5 左右奥歯をインプラントにて治療した症例
- 費用
- 5,640,000円(税込)
上顎All-on-5 2,640,000円
右下奥、左下奥インプラント 3,000,000円 - 期間
- 12ヶ月
- 患者様
- 男性 50代
治療内容
患者様の症状
-
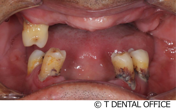
ほとんどの歯がなく、残っている歯も状態悪く、噛めない状態。見た目も悪く治療したい。
治療法
-
上の残っている歯は状態悪かったため抜歯を行い上顎にインプラント5本を埋め込み、全てジルコニアの歯を入れる治療を行いました。下の前歯は残せる状態でしたので、左右奥にインプラント2本かぶせ3本で奥歯作る治療を行いました。
治療結果
-
インプラントにより、噛めるようになり、見た目も綺麗になりました。笑顔で笑えるようになりました。
※治療結果は患者様によって個人差があります。
治療を行う上での 注意点 (リスク・副作用)
出血、腫張、疼痛、青痣、神経麻痺、補綴物の脱落、破折、インプラント体の破折、咬合違和感、インプラント周囲炎
【症例2】上顎にAll-on-4で治療した症例
- 治療前
- 治療後
- 治療名
- 上顎にAll-on-4で治療した症例
- 費用
- 2,420,000円(税込)
- 期間
- 5ヶ月
- 通院回数
- 12回
- 患者様
- 男性 60代
治療内容
患者様の症状
-
上の歯がグラグラ、噛みにくい、抜けそう
治療法
-
上の歯は全てグラグラの状態で、全ての歯を抜きインプラント4本を埋め込みジルコニアで上の歯を治療しております。人工の歯で機能回復してます。
治療結果
-
インプラント治療で上の歯がしっかりし、見た目、噛み合わせもよくなりました。
※治療結果は患者様によって個人差があります。
治療を行う上での 注意点 (リスク・副作用)
出血、腫脹、疼痛、青痣、補綴物の脱落、破折、インプラント周囲炎
【症例3】前歯1本をインプラントにて治療した症例
- 治療前
- 治療後
- 治療名
- 前歯1本をインプラントにて治療した症例
- 費用
- 517,000円(税込)
インプラント 462,000円
骨造成 55,000円 - 期間
- 4ヶ月
- 通院回数
- 6回
- 患者様
- 女性 60代
治療内容
患者様の症状
-
入れ歯を使っていてしゃべりずらい、見た目が悪い
治療法
-
歯を抜いてから時間が経っていたため骨と歯茎が減っている状態でした。骨と歯茎を増やす処置を行い歯茎が隣の歯と同じになるように、かぶせも綺麗になるようにしています。
治療結果
-
綺麗な見た目になり、しゃべりづらさも無くなりました。
※治療結果は患者様によって個人差があります。
治療を行う上での 注意点 (リスク・副作用)
出血、腫脹、疼痛、青痣、補綴物の脱落、破折、インプラント周囲炎
【症例4】上下顎にAll-on-4で治療した症例
- 治療前
- 治療後
- 治療名
- 上下顎にAll-on-4で治療した症例
- 費用
- 4,840,000円(税込)
- 期間
- 6ヶ月
- 通院回数
- 12回
- 患者様
- 男性 50代
治療内容
患者様の症状
-
上の歯がグラグラ、噛みにくい、抜けそう。
治療法
-
歯はすべてグラグラの状態で、すべて抜いてインプラント4本を埋め込みジルコニアで上の歯を治療しました。人工の歯で機能回復しています。
治療結果
-
インプラント治療で噛み合わせがしっかりし、見た目も若くなり印象もよくなりました。
※治療結果は患者様によって個人差があります。
治療を行う上での 注意点 (リスク・副作用)
出血、腫脹、疼痛、青痣、補綴物の脱落、破折、インプラント周囲炎
【症例5】左下2本インプラント及び前歯セラミック治療した症例
- 治療前
- 治療後
- 治療名
- 左下2本インプラント及び前歯セラミック治療した症例
- 費用
- 2,244,000円(税込)
セラミック治療 1,320,000円(165,000円×8)
インプラント治療 924,000円(462,000円×2) - 期間
- 4ヶ月
- 通院回数
- 10回
- 患者様
- 女性 60代
治療内容
患者様の症状
-
前歯の金属が見えて、見た目悪く左が噛みにくいため治療を希望されました。
治療法
-
上の前歯は保険の被せが入っており全て外してセラミックにて治療しております。左下歯インプラントを埋めこみ被せを入れて噛めるようにしております。
治療結果
-
見た目綺麗になり清潔感も出て、よく笑えるようになりました。
※治療結果は患者様によって個人差があります。
治療を行う上での 注意点 (リスク・副作用)
出血、腫脹、疼痛、青痣、補綴物の脱落、破折、インプラント周囲炎
医院情報
| 住所 | 〒545-0052 大阪府大阪市阿倍野区阿倍野筋1-3-15 阿倍野共同ビル7階 地図 |
|---|---|
| TEL | 06-6655-0700 ※お電話にてご予約・ご相談いただく場合は、「インプラントネットを見た」と言っていただけるとスムーズです。 |
| 公式ホームページ |
|
| 診療時間 | 木・日曜 09:00〜12:00 / 13:00〜17:00 |
| 休診日 | 月・火・水・金・土 |
| アクセス |
JR大阪環状線『天王寺駅』より徒歩4分 OsakaMetoro御堂筋線『天王寺駅』より徒歩4分 OsakaMetoro谷町線『阿倍野駅』より徒歩1分 |













