当クリニックについて(診療理念)

医院名のリアム(RIAM)には、
・RELIABLE(患者様やスタッフとの信頼関係を大切にします)
・INTEGRATION(様々な分野を統合した治療プランを提案します)
・ADVANCED(常により良い医療を取り入れ、それを実践します)
・MANIFESTATION(明確に分かりやすくすることを心掛けます)
といった診療理念が込められています。
骨移植や全部の歯のインプラント治療にも対応

インプラント治療においては、技術や知識、設備が必要です。特に骨の足りない部分があるケースや歯を多数失っているケースでインプラント治療をする場合は重要だと考えます。当クリニックでは骨移植や全部の歯のインプラント治療といった経験があります。
All-on-4について

All-on-4(オールオンフォー)は、インプラント治療の一種で、4本のインプラントによって左右の第一大臼歯までの固定式人工歯12本を支える治療方法です。すべての歯が欠損している患者様や残っている歯の抜歯を必要とする状態の患者様に対して適用され、全部の歯をインプラントで支えます。
基本的に、抜歯・インプラント埋入・固定式仮歯の装着を1日で完了することができます(最終の人工歯は後日製作)。手術当日までは治療前のままの状態なので、歯がなくなる期間を心配する必要はなく、使用している入れ歯も当日まで使用できます。
当クリニックでは、公益社団法人 日本口腔外科学会 口腔外科認定医の荒木 泰博がAll-on-4を行っています。
※治療結果は患者様によって個人差があります。
症例
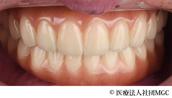
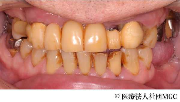
【症例1】上下All-on-4(オールオンフォー)
- 治療前
- 治療後
- 治療名
- 上下All-on-4(オールオンフォー)
- 費用
- 5,915,800円(税込)
- 期間
- 8ヵ月
治療内容
-
患者様の症状
-
歯がボロボロで食事が困難であるとご来院されました。
-
治療法
-
ご相談の結果、患者様の生活の質(QOL)を向上させ、しっかり噛めるように上下All-on-4(オールオンフォー)を行いました。
-
治療結果
-
機能性、審美性ともに改善し、満足していただけました。
※治療結果は患者様によって個人差があります。
治療を行う上での注意点(リスク・副作用)
インプラント周囲炎の可能性、まれに歯が欠ける可能性があります。
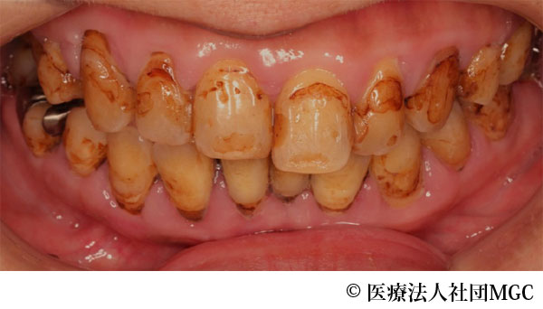
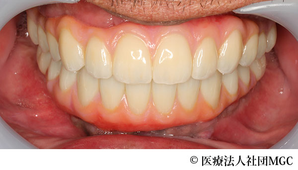
【症例2】上下All-on-4(オールオンフォー)
- 治療前
- 治療後
- 治療名
- 上下All-on-4(オールオンフォー)
- 費用
- 5,888,300円(税込)
- 期間
- 7ヵ月
治療内容
-
患者様の症状
-
総入れ歯が合わず、噛めないとお困りでご来院されました。
-
治療法
-
ご相談の結果、患者様の生活の質(QOL)を向上させ、しっかり噛めるように上下All-on-4(オールオンフォー)を行いました。
-
治療結果
-
機能性、審美性ともに改善し、満足していただけました。
※治療結果は患者様によって個人差があります。
治療を行う上での注意点(リスク・副作用)
インプラント周囲炎の可能性、まれに歯が欠ける可能性があります。
【症例3】上下All-on-4(オールオンフォー)
- 治療前
- 治療後
- 治療名
- 上下All-on-4(オールオンフォー)
- 費用
- 5,888,300円(税込)
- 期間
- 6ヵ月
治療内容
-
患者様の症状
-
上のブリッジが取れたことをきっかけに、全体に歯をきれいにしたいとご来院されました。
-
治療法
-
ご相談の結果、患者様の生活の質(QOL)を向上させ、しっかり噛め、審美的にも重視した、上下All-on-4(オールオンフォー)を行いました。
-
治療結果
-
機能性、審美性ともに改善し、満足していただけました。
※治療結果は患者様によって個人差があります。
治療を行う上での注意点(リスク・副作用)
インプラント周囲炎の可能性、まれに歯が欠ける可能性があります。
【症例4】上下All-on-4(オールオンフォー)
- 治療前
- 治療後
- 治療名
- 上下All-on-4(オールオンフォー)
- 費用
- 5,888,300円(税込)
- 期間
- 5ヵ月
治療内容
-
患者様の症状
-
歯の汚れが気になるのと、奥歯で噛めないとお困りでご来院されました。
-
治療法
-
ご相談の結果、患者様の生活の質(QOL)を向上させ、しっかり噛め、審美的にも重視した、上下All-on-4(オールオンフォー)を行いました。
-
治療結果
-
機能性、審美性ともに改善し、満足していただけました。
※治療結果は患者様によって個人差があります。
治療を行う上での注意点(リスク・副作用)
インプラント周囲炎の可能性、まれに歯が欠ける可能性があります。
【症例5】上下All-on-4(オールオンフォー)
- 治療前
- 治療後
- 治療名
- 上下All-on-4(オールオンフォー)
- 費用
- 7,208,300円(税込)
- 期間
- 6ヵ月
治療内容
-
患者様の症状
-
歯を全体的にきれいに治してほしいとご来院されました。
-
治療法
-
ご相談の結果、患者様の生活の質(QOL)を向上させ、しっかり噛め、審美的にも重視した、上下All-on-4(オールオンフォー)を行いました。
-
治療結果
-
機能性、審美性ともに改善し、満足していただけました。
※治療結果は患者様によって個人差があります。
治療を行う上での注意点(リスク・副作用)
インプラント周囲炎の可能性、まれに歯が欠ける可能性があります。
治療サービス
| 手術の種類 | 骨造成治療 / 即日インプラント / All-on-4 / 審美的なインプラント |
|---|---|
| 手術環境 | 3D CADCAMを利用した治療 / レーザー治療 |
| 使用インプラントメーカー | ノーベル・バイオケア / ストローマン |
| その他のサービス | 歯周病対応 / インプラントの撤去 / インプラント再治療相談 / アフターケアが充実 |
医院情報
| 住所 | 〒136-0072 東京都江東区大島8-42-7 地図 |
|---|---|
| TEL | 03-6802-9123 ※お電話にてご予約・ご相談いただく場合は、「インプラントネットを見た」と言っていただけるとスムーズです。 |
| 公式ホームページ |
|
| 診療時間 | 月・火・水・木・金・土曜 09:00〜13:00 / 14:30〜18:00 |
| 休診日 | 日・祝 |
| アクセス |
都営新宿線『東大島駅』より徒歩2分 都営新宿線『大島駅』より徒歩12分 |



















