当院のインプラント治療

インプラント治療は外科手術が必要となる歯科治療です。
インプラントを埋め込む土台となる顎の骨の周辺には、重要な血管や神経が張り巡らされており、こういった組織を傷つけることなく手術を行うことも重要です。
そのためにも、技術力の向上や、手術経験を積むことが大切だと考えています。
当院のインプラント治療

当院では「痛くない・腫れない・すぐ噛める」をモットーに、インプラント治療のご提供に努めています。
これはインプラント治療の手術での痛みが怖い、手術をしてもすぐ噛めるようにならない、そんな理由で治療を戸惑っている患者様にも、インプラント治療を受け入れていただけるように心掛けたモットーです。
歯がない、入れ歯が合わないなど、インプラント治療を希望されるようなお悩みをお持ちの方にもお気軽にご相談いただきたいと思います。
4Sコンセプトに基づいたインプラント治療

当医院のインプラント治療の特長として「4Sコンセプトに基づいたインプラント治療」があります。
4Sコンセプトとは、4つの「S」からなるShort (短期間治療)・Simple (シンプル)・Small (最小限)・Safe(安全)を基本とした、患者様目線に立ったインプラント治療です。
インプラント治療期間中のQOL(生活の質)低下を防ぐため、インプラント治療をできる限り短期間に抑えられる場合や、即時荷重による早期の咬合および審美面の改善に努めています。
当院の治療設備

当院では、インプラント治療を適切に行うためにも歯科用CTを導入し、患者様の顎の骨の厚み、高さ、神経や血管の位置などをしっかりと把握し、インプラント治療を行える環境を整えています。
歯科用CTで撮影した映像によって、従来のレントゲン撮影では把握しにくかった部分も把握でき、適切な埋入位置を確認できることは術中の事故を未然に防ぐことにも繋がると考えています。
しいてはそれが安全性に配慮したインプラント治療のご提供にも繋がると考えています。
複数種類のインプラントシステムの導入

患者様一人ひとり、年齢や性別、骨質、治療部位などの違いによって様々な症状があります。
当院ではそんな患者様の症状に対応できるように、様々なインプラントシステムを導入し、治療に対応しています。
また症状だけでなく、費用の負担が大きくなりがちなインプラント治療において、常に複数のプランを提唱することで、患者様のご希望に沿った治療を進めていくことなども重視しています。
即時荷重でのインプラント治療

インプラント治療を行ったその日のうちに仮歯を入れることができる「即時荷重インプラント治療」にも対応しています。
一般的なインプラント治療では、手術で埋め込んだインプラントが定着するまでの数ヶ月、歯の無い状態で過ごしていただく場合があります。
しかし、歯の無い状態で過ごすことは、不便であり、不安にもなるかと思います。
即時荷重でのインプラント治療では、手術を行う回数も抑えやすく、患者様の身体への負担の軽減にも繋がる治療法だと考えています。
治療後の保障とメインテナンス

インプラント治療において、治療後のメインテナンスは欠かせません。
インプラント治療後も定期的に検診にご来院いただいている患者様には10年間の長期保証をご提供しています。
当院はインプラント治療だけでなく、虫歯や歯周病予防などの歯科治療を目的にご来院いただいている管理予防型の歯科医院ですので、インプラントの治療を受けた後の定期メインテナンスだけでなく、そのほかのお口のお悩みについてもご相談いただければと思います。
症例
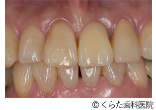
【症例1】前歯単独インプラント
- 治療前
- 治療後
- 治療名
- 前歯単独インプラント
- 費用
- 498,000円(税込)
- 詳細
- 左上2番ジルコニアクラウン
- 期間
- 3ヵ月
- 通院頻度
- 2週ごと
- 年齢・性別
- 75歳女性
治療内容
-
患者様の症状
-
転倒により前歯の歯根破折を起こしたため、インプラント治療を希望されて来院。
-
治療方法
-
歯根破折を起こした左上前歯を抜歯し、同時にインプラントを埋め込みました。当日、固定を獲得したインプラントに仮歯を装着して治療を終えました。定期的な確認の後、インプラントが安定する術後3ヵ月を目安に最終的な被せ物(ジルコニアクラウン)を装着して審美的・機能的回復を獲得しました。
-
治療結果
-
インプラント治療によって歯根破折を起こした歯を補うことができました。
-
その他
-
他院では複数の手術が必要で1年ほど時間がかかると言われたが、抜歯と同時にインプラント埋入、即日に仮歯も入って大満足とのことでした。
治療を行う上での注意点(リスク・副作用)
術後の出血、腫脹、疼痛、インプラント周囲炎のリスク。
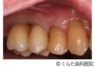
【症例2】右上奥歯複数歯欠損
- 治療前
- 治療後
- 治療名
- 右上奥歯複数歯欠損
- 費用
- 990,000円(税込)
- 期間
- 4ヵ月
- 通院頻度
- 2週間ごと
- 年代・性別
- 60代女性
治療内容
-
患者様の症状
-
10年ほど前に抜歯後、骨が少なくインプラントができないと言われて義歯を使い続けていた。骨がない場合でもこちらではインプラント治療ができると友人に勧められて来院。
-
治療方法
-
残存骨量は2〜5mm程度だったため、インプラント埋入と同時に垂直的な骨の量を増やす上顎洞挙上術を行いました。骨造成した部位が安定したところでインプラントに最終的な被せ物を装着し、機能面の回復を行いました。
-
治療結果
-
10年以上義歯を使用していたが、自分の歯のように噛めるようになり満足しているとのこと。友人との食事も楽しめるようになりました。
※治療結果は患者様によって個人差があります。
治療を行う上での注意点(リスク・副作用)
術後出血、腫脹、疼痛、術後性上顎洞炎、インプラントの脱落、インプラント周囲炎。
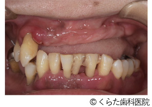
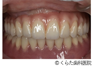
【症例3】上顎フルマウスインプラント
- 治療前
- 治療後
- 治療名
- 上顎フルマウスインプラント
- 費用
- 4,400,000円(税込)
- 期間
- 8ヵ月
- 通院
- 2〜4週ごと
- 年代・性別
- 40代女性
治療内容
-
患者様の症状
-
歯周病によって全体の歯がグラグラに。インプラントで快適に過ごしたいと来院されました。
-
治療方法
-
上顎は6本のインプラントを使用して固定性の被せ物に。下顎は予算の関係で今回は2本のインプラントと入れ歯を固定する治療法を選択されました(今後下顎も固定性の被せ物に変更予定)。
-
治療結果
-
重度歯周炎に罹患している歯を全て抜歯、インプラントに変更したことで骨の吸収が止まり、口臭も軽減、大きく口を開けて笑うことができるようになりました。
治療を行う上での注意点(リスク・副作用)
術後出血、腫脹、疼痛、インプラントの脱離、インプラント周囲炎、補綴物の破折。
※治療結果は患者様によって個人差があります。





