シャングリラデンタル横浜歯科矯正歯科は、インプラント治療を強みとして診療を行っています。
当院では、歯を失った場所にただインプラントを埋め入れるのではなく、機能性と審美性を兼ね備えたインプラント治療のご提供に努めています。
公益社団法人 日本口腔インプラント学会 インプラント専門医である理事長の梶原 基弘が、全ての治療において責任を持って担当しています。
患者様の不安な気持ちやお悩みに寄り添うよう心掛けた無料カウンセリングを実施しています。
シャングリラデンタル横浜歯科矯正歯科のインプラント治療
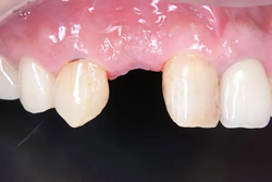
1DAYインプラント

1DAYインプラントでは、即時荷重法というインプラントの治療方法を用いています。即時荷重法の活用で、インプラント手術を受けたその日に白い仮歯をつけてお帰りいただける場合があります。
咬合機能の早期回復に繋げるほか、なるべく歯のない状態を避け、見た目に配慮ができるため、患者様の満足度の向上に繋がっていると感じています。
通常の治療方法は、インプラント手術を行ってからインプラント本体と骨が密着するために3〜6ヵ月待ち、その後人工歯をつけていきます。即時荷重法ではフラップレスインプラントを活用して手術を行うことで、患者様の負担の軽減に繋げています。
適用可能な症例かのご相談は、事前の精密診断を行ったうえでのカウンセリングで行っております。ぜひ一度ご相談ください。
料金・費用
-
- 項目・内容
- 備考価格(税込10%)
-
- 初診料・再診料・カウンセリング・治療計画立案
- 無料
-
- 口腔機能管理料
- 月1回2,000円
※料金表は目安です。最終的な金額は歯科医院でご確認ください。
※表示金額は消費税込みの金額です。
診療時間
平日・土・日曜 10:00〜13:30 / 15:00〜19:00
休診日 祝
医院サービス・特徴
医院サービス
- 休日診療
- 夜間診療
- 個室診療
- カウンセリングルーム
- キッズスペース
- 英語対応
- 女性医師
- CT完備
- オペ室
- 入院設備
- 3Dシミュレーション
- リカバリールーム
- 無料相談
- 完全予約制
- セカンドオピニオン
- 駅徒歩5分以内
- 静脈鎮静麻酔
- マイクロスコープ
- 院内技工(ラボ)併設
- 治療歴10年以上
- 保証制度
- インプラント10年保証
- マタニティ対応
- 費用ページあり
医院体制
エレベーター / セカンドオピニオン / 無料カウンセリング / 予約制 / 治療計画書 / 電子カルテシステム
お支払い
クレジットカード / メディカルローン / 自費診療 / 分割払い
口コミ (投稿件数:6件 総合評価:★ 4.8)
投稿日:2026-03-21
総合評価★4.9
ふくちゃんさん(女性/40代)
投稿日:2026-02-26
総合評価★5.0
Rieさん(女性/50代)
初めてのインプラントで、とても不安でしたが、先生のていねいでわかりやすい説明と、やさしいスタッフの方々の対応で、とても安心して受けられました。何より先生の腕(技術)が、今まで…
投稿日:2026-02-26
総合評価★4.7
Salyさん(女性/60代)
歯の治療は「痛くならないと受診しない」状態を子どものときから続けていたので、こちらに辿り着くまで熱心な患者ではありませんでした。開業された初期からずっと通っていますが疑問質問…
医院情報
| 住所 | 〒220-0012 神奈川県横浜市西区みなとみらい5-1-2 横浜シンフォステージ ウエストタワー3階 地図 |
|---|---|
| TEL | 045-211-4618 ※お電話にてご予約・ご相談いただく場合は、「インプラントネットを見た」と言っていただけるとスムーズです。 |
| 公式ホームページ |
|
| 診療時間 | 平日・土・日曜 10:00〜13:30 / 15:00〜19:00 |
| 休診日 | 祝 |
| アクセス | みなとみらい線『高島駅』より徒歩1分 |
| グループ医院 |
OCEAN DENTAL OFFICE MINATOMIRAI(オーシャンデンタルオフィス みなとみらい)
(神奈川県横浜市西区) |
患者さん目線で施術の提案や相談を聞いてくれる先生なので、歯の悩みを安心して相談できます。施術を受けるにあたり、不安や心配なことがあった際も、患者さんにわかりやすく説明をしてく…